樹脂による修復(1歯 ¥4,000 から)

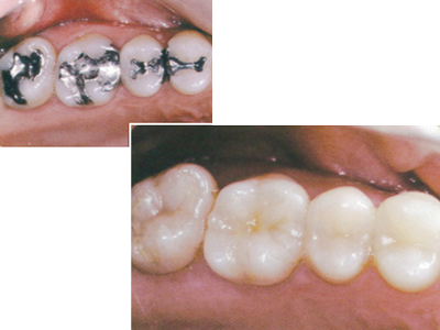
■金属の詰め物を白い詰め物へ
・金属の詰め物を樹脂へ(保険適用)
・金属の詰め物をセラミックへ(自由治療)
| 費 用 | |
| 樹脂による修復 | 1歯 ¥24,000 から |
オールセラミック
今までのセラミックは金属の冠の上にセラミックを焼きつけているので強度がありますが、内面が金属のため天然の歯のように透明感がありませんでしたが、強度のあるオールセラミックが登場し透明感があり、さらに強度にもすぐれ、金属アレルギーの問題も解消されます。歯肉の際の黒い変色も出なくできます。 
| 費 用 | |
| オールセラミック | 1歯 ¥80,000 から |
ラミネートベニア
![]() |
![]() |
|
![]() |
![]() |
|
![]() |
歯の表面をわずかに削り、 |
|
![]() |
||
| 費 用 | |
| ラミネートベニア | 1歯 ¥80,000 から |
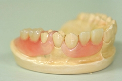
ナチュラルデンチャー
| 入れ歯を支える金属のバネのない 入れ歯(義歯)
↓こんなに薄くやわらかいので |
|
|
![]() |
![]() |
|
![]() |
![]() |














