治療


 
■摩耗治療前   ■治療後
   
〈アマルガムという詰め物〉
水銀が入っているため健康に影響が出ます。
  アマルガムと虫歯を除去   歯と同じ色調の詰め物により修
 
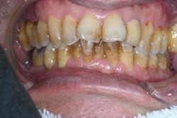
■初診時
特に上の前歯がから奥歯の歯肉の際の
虫歯がひどかったのですが、FABALA
歯磨剤でしっかりブラシしていただ
き、歯の質が強化されました。
  ■治療経過
強くなった歯は少し削っただけで元のように綺麗になりました。

歯のクリーニング